


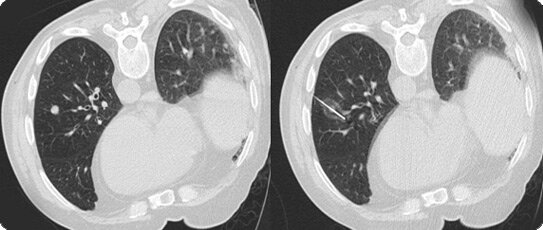
A range of innovative ablative (locally destructive) therapies are available at UCH and RNOH, which can be used in conjunction with other treatments such as chemotherapy and radiotherapy. These include radiofrequency ablation of liver, lung and soft tissue metastases, and vertebroplasty to strengthen bones in the spine weakened by cancer. These therapies allow destruction of a tumour using energy delivered to the tumour though fibre-optic probes placed into the tumour. The procedure is carried out under sedation or a short general anaesthetic. It allows patients to have tumours treated without having large operations.